MODULE
Il sangue

Il sangue è un connettivo specializzato composto da una parte corpuscolare formata dai globuli rossi o eritrocitiglobuli bianchi o leucociti e dalle piastrine e da una parte fluida, il plasma.

Il sangue è un connettivo specializzato composto da una parte corpuscolare formata...

GLI ERITROCITI O GLOBULI ROSSI

I globuli rossi hanno una forma di lente biunivoca con un diametro di 7,5 µm che consente un miglior scambio gassoso. Non è presente di nucleto, anucleato, e contiene degli enzimi tra cui l'anidrasi carbonica che svolge un ruolo essenziale nella formazione dello ione bicarbonato che tampona il PH del sangue. Nel maschio sono contenuti circa 5 milioni per mm3, nelle femmine invece di circa 4,5 milioni per mm3 di sangue. La vita media di un eritrocite è di circa 120 giorni dopodiché vengono distrutti dal fegato, dalla milza e dal midollo osso.

 

GLI ERITROCITI O GLOBULI ROSSI I globuli rossi hanno una...

L'eritrocita è ricca della proteina dell'emoglobina che è composta da quattro catene uguali a due a due, due catene α e due β. Ogni catena è legata ad un gruppo eme contenente ferro. L'emoglobina rappresenta il trasportatore dei gas respiratori.

L'eritrocita è ricca della proteina dell'emoglobina che è composta da...

I LEUCOCITI O GLOBULI BIANCHI

Il numero dei leucociti presente nel sangue è inferiore rispetto a quello degli eritrociti. Nell'adulto il numero oscilla da 6.500 a 10.000 cellule per per mm3, la loro funzione principale è quella di difendere l’organismo da sostanze esterne nocive.

I LEUCOCITI O GLOBULI BIANCHI Il numero dei leucociti presente...

I leucociti vengono classificati in granulocitiagranulociti

I granulociti si dividono in base alla colorazione in:

  • neutrofili;
  • basofili;
  • eosinofili;

I agranulociti si dividono invece in due gruppi:

  • linfociti;
  • monociti;

 

I leucociti vengono classificati in granulociti e agranulociti.  I granulociti si dividono...

I neutrofili costituiscono la maggior parte dei leucociti circa il 60-70%.

Hanno un nucleo capace di cambiare forma (polimorfonucleati) e nelle donne questo nucleo può presentare un addensamento di cormatica corrispondente al cromosoma x.

I neutrofili costituiscono la maggior parte dei leucociti circa il...

I basofili rappresentano meno del 4% dei leucociti totali.

I basofili rappresentano meno del 4% dei leucociti totali.

Gli eosinofili rappresentano meno dell'1% dei leucociti totali.

Possiedono un nucleo ad S mascherato da numerosi granuli e sulla membrana plasmatica presentano recettori per le Immoglobuline E.

Gli eosinofili rappresentano meno dell'1% dei leucociti totali. Possiedono un...

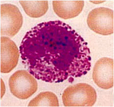
I monociti sono cellule appartenenti ai globuli bianchi. In condizioni non patologiche i valori si attestano su una quantità di 0.2-0.8 miliardi di monociti per ogni litro di sangue. Costituiscono il 6-8% delle cellule della serie bianca e rappresentano le prime linee di difesa nei confronti di agenti patogeni quali virus, batteri, miceti. Lavorano in stretta sinergia con i granulociti neutrofili e con i linfociti. Sono prodotti come tutte le altre cellule appartenenti alla classe dei globuli bianchi dal midollo osseo; vengono successivamente riversati nel torrente circolatorio (dove permangono per meno di 12 ore) e nella milza e da qui migrano nei tessuti dove si differenziano in macrofagi o cellule dendritiche.

 

STRUTTURA E FUNZIONE DEI MONOCITI

La loro struttura è molto caratteristica: sono cellule di grosse dimensioni dotate di un nucleo centrale e reniforme; i lisosomi presenti nel loro citoplasma contengono due tipi di granuli secernenti arilsulfatasi, fosfatasi acida e perossidasi e altri enzimi responsabili delle azioni digestiva e degradativa proprie di queste cellule. Non a caso vengono soprannominate “spazzine dell’organismo”.

I monociti sono cellule appartenenti ai globuli bianchi. In condizioni...

I linfociti sono cellule fondamentali del sistema immunitario. Compito delle difese è in grado di difendere l’organismo da una noxa, ovvero da qualsiasi agente estraneo in grado di alterare l’omeostasi del corpo, perciò in alcuni casi si rende opportuno monitorarne i livelli attraverso opportune analisi del sangue.

 

TIPOLOGIE DI LINFOCITI

Esistono diverse classi di linfociti: B, T e Natural Killer; insieme rappresentano tra il 20 e il 40% dei leucociti presenti nell’uomo.

I linfociti B sono responsabili della risposta “umorale”. Si tratta delle cellule predisposte alla produzione degli anticorpi. Come tutte le altre cellule del sistema immunitario i linfociti B vengono prodotti dal midollo osseo e dal fegato (nei feti), mentre in seguito migrano dalla sede primaria e si localizzano in altre sedi come ad esempio sangue, linfonodi e milza. I linfociti B producono vari tipi di immunoglobiline (anticorpi): IgM IgG IgA IgE. I linfociti T si differenziano nel midollo, ma successivamente migrano nel timo che diviene sede primaria della loro produzione. Si dividono in T helper e T citotossici.

I linfociti sono cellule fondamentali del sistema immunitario. Compito delle...
Next: L'albero genealogico